Real-World Clinical Insights with DRSONO

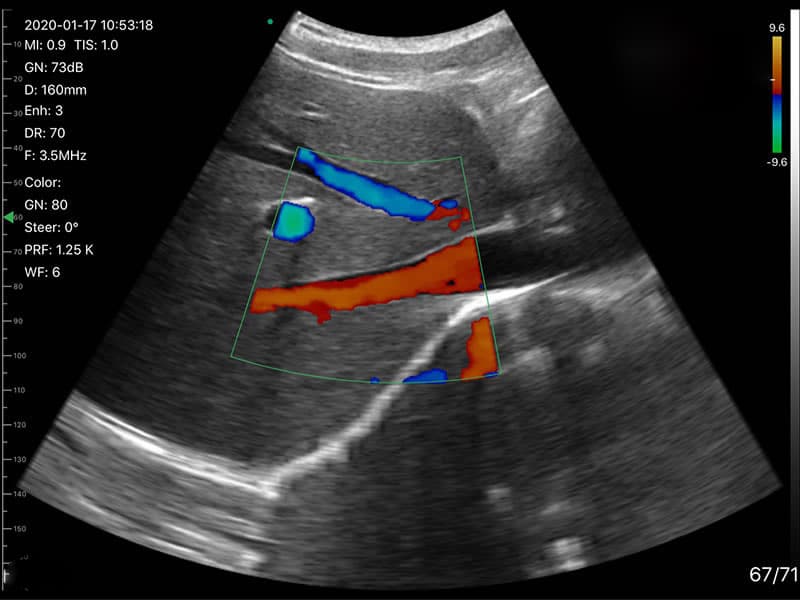
Dr. Roman Bencomo Jenkins, an emergency physician in Atlanta, Georgia, evaluated a nonverbal patient presenting with acute dyspnea. The patient had a medical history significant for chronic heart failure (EF 20-25%), COPD, and a recent ischemic stroke resulting in expressive aphasia. EMS reported that the patient, unable to communicate verbally, appeared distressed and pointed to her chest. Initial oxygen therapy via nasal cannula improved her mild hypoxia.
Upon arrival at the ER, Dr. Jenkins utilized the DRSONO Tri-Scan Max to perform a bedside ultrasound to quickly assess the underlying cause of dyspnea. The findings were:

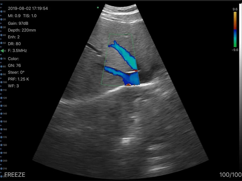
Dr. Sophia Kim, who operates a family practice clinic in Houston, TX, recently used the Dr. Sono Tri-Scan Max to monitor the growth of a fetus at 28 weeks of gestation in a patient with a history of intrauterine growth restriction (IUGR).
By measuring the fetal biparietal diameter (BPD), head circumference (HC), abdominal circumference (AC), and femur length (FL), she confirmed that the fetus was growing appropriately, alleviating the patient's concerns.
In addition to performing detailed biometric measurements to estimate fetal weight, Dr. Kim utilized the color Doppler mode to assess the umbilical cord blood flow, ensuring proper fetal circulation. She also conducted a thorough evaluation of the fetal spine and lateral ventricles to confirm normal development. Amniotic fluid levels and fetal movement were also checked, providing a comprehensive overview of the fetus's well-being.

Dr. Emily Thompson, who runs an endocrinology clinic in San Francisco, CA, used the Dr. Sono Tri-Scan Max Portable Ultrasound to evaluate a 45-year-old female patient with a known thyroid nodule and cyst. The patient had been experiencing mild neck discomfort and requested a follow-up ultrasound to assess any changes.
Upon examination, the thyroid nodule measured 1.8 cm and appeared isoechoic with well-defined margins, while the adjacent cyst measured 2.1 cm and exhibited anechoic characteristics with a thin, smooth wall. Color Doppler imaging revealed no significant blood flow in either the nodule or cyst, indicating that both lesions were stable and non-cancerous.
Using Dr. Sono, Dr. Thompson performed additional scans of the surrounding lymph nodes and the contralateral thyroid lobe, which showed no signs of metastasis or new abnormalities. This comprehensive scan helped reassure the patient and allowed Dr. Thompson to monitor the condition effectively without the need for invasive procedures.


Dr. Jonathan Watson, an emergency department physician at a leading hospital in Atlanta, used the Dr. Sono Tri-Scan Max with a linear probe to locate a broken needle embedded in a patient’s foot. Despite a thorough wound cleaning, evaluation, and X-ray imaging, the foreign body (FB) was not immediately visible, prompting further investigation with the ultrasound.
Utilizing Dr. Sono’s high-frequency linear probe, Dr. Watson was able to pinpoint the exact location of the broken needle, which had been missed on the X-ray due to its radiolucent properties. The ultrasound scan provided a clear, real-time view of the needle's position within the soft tissue, enabling precise measurement of its depth and proximity to the skin surface. Thanks to Dr. Sono, Dr. Watson was able to make a small incision directly over the needle and remove it with minimal discomfort to the patient.

Dr. Emily Foster, an orthopedic surgeon at a Miami-based hospital, utilized the Dr. Sono Tri-Scan Max to dynamically assess subacromial impingement in a patient with shoulder pain. The patient presented with symptoms of rotator cuff tendinopathy and limited range of motion, which were suspected to be caused by impingement at the acromion.
Using the Dr. Sono Tri-Scan Max with a linear probe, Dr. Foster conducted a real-time dynamic ultrasound examination. The patient was instructed to move the shoulder through various positions while Dr. Foster carefully observed the subacromial space. The dynamic assessment revealed a reduction in the subacromial gap during specific movements, confirming the diagnosis of impingement.
Additionally, the ultrasound allowed Dr. Foster to evaluate the integrity of the rotator cuff tendons and surrounding structures and ensure that no significant tears or inflammation were present. The dynamic nature of the assessment provided crucial information about how the shoulder mechanics contributed to the impingement. Dr. Foster used this information to recommend targeted physical therapy for the patient, along with a cortisone injection to relieve inflammation. The real-time feedback provided by the Dr. Sono Tri-Scan Max was essential in creating an effective treatment strategy and offering the patient relief from their symptoms.

Dr. Lukas Müller, an orthopedic specialist at University Hospital in Berlin, Germany, used the Dr. Sono Tri-Scan Max to assess a 34-year-old male patient who presented with pain and swelling in the distal phalanx of his left toe after a sports injury suffered in a soccer match.
Dr. Müller utilized Dr. Sono to perform a focused ultrasound examination of the affected toe with the device’s high-frequency linear probe. The real-time imaging revealed a small, non-displaced fracture at the distal phalanx, with mild swelling of the surrounding soft tissues. The fracture line was clearly visible, allowing Dr. Müller to confirm the diagnosis without the need for traditional X-ray imaging.
By using the ultrasound, Dr. Müller was able to quickly assess the severity of the injury and determine that no significant soft tissue damage or joint involvement was present. The advantage of using Dr. Sono was its ability to provide immediate visualization of the fracture, reducing patient wait times and offering a non-invasive diagnostic tool for minor injuries. In this instance, Dr. Müller recommended conservative management, including buddy taping and a follow-up appointment in two weeks.

Dr. Roman Bencomo, an emergency physician in Atlanta, Georgia, evaluated a nonverbal patient presenting with acute dyspnea. The patient had a medical history significant for chronic heart failure (EF 20-25%), COPD, and a recent ischemic stroke resulting in expressive aphasia. EMS reported that the patient, unable to communicate verbally, appeared distressed and pointed to her chest. Initial oxygen therapy via nasal cannula improved her mild hypoxia.
Upon arrival at the ED, Dr. Jenkins utilized the DRSONO Tri-Scan Max to perform a bedside ultrasound to quickly assess the underlying cause of dyspnea.
Lung Ultrasound Findings:
The lung ultrasound revealed no B-lines or signs of pulmonary edema, ruling out acute CHF exacerbation as the cause of dyspnea.
Cardiac Ultrasound Findings: The apical 4-chamber view demonstrated normal RV size and function. No evidence of acute right heart strain or pulmonary embolism (PE) was identified.

Dr. Sophia Kim used the DrSono Tri-scan Max to monitor the growth of a fetus at 28 weeks of gestation in a patient with a history of intrauterine growth restriction (IUGR). By measuring the fetal biparietal diameter (BPD), head circumference (HC), abdominal circumference (AC), and femur length (FL), she confirmed that the fetus was growing appropriately, alleviating the patient's concerns.
In addition to performing detailed biometric measurements to estimate fetal weight, Dr. Kim utilized the color Doppler mode to assess the umbilical cord blood flow, ensuring proper fetal circulation. She also conducted a thorough evaluation of the fetal spine and lateral ventricles, confirming normal development. Amniotic fluid levels and fetal movement were also checked, providing a comprehensive overview of the fetus's well-being.
Performed detailed biometric measurements to estimate fetal weight.
Checked for abnormalities in amniotic fluid levels and fetal movement.





